Some people think that they can just wait till they notice a problem and then get treatment done. It is a bit like owning an expensive car and waiting till the engine starts smoking. The problem with this approach is that most conditions that cause teeth to be lost are painless.
It makes much more sense and is and more economical to prevent dental disease or reduce the risk of it happening rather than wait for tooth decay, bleeding gums, loose teeth, and bad breath to appear and then having to treat them.
This is why keeping teeth for life requires a preventive and maintenance plans. We recommend for our patients to have check-up exams or oral hygiene appointments on a regular basis.
This is usually scheduled every six months, but can be more or less often, as determined by your dental and overall health needs.
Usually, recall appointments include the following:
- assessment of the health of your tongue, roof of the mouth, salivary flow, etc
- assessment of the condition of your teeth, gums, fillings, and other restorations
- assessment of the fit and state of your dentures if you have any
- removal of the plaque and tartar build-up from around your teeth that you can’t get to with your toothbrush
- gently polishing your teeth with a special paste or using fine sand to remove staining
- checking for any concerns
We often finish your appointment with a remineralising treatment. By applying a highly concentrated fluoride gel or varnish onto your teeth, we are aiming to replenish the protective minerals in them which are lost every day from eating and drinking. We also have a wide range of oral hygiene products that we could recommend to you to meet your individual needs.
Oral Cancer Screening
At every recall appointment, we will check for all pathology, including any early signs of oral cancer. All of the tissues of the mouth are checked including the tongue, lips, the floor of the mouth, cheeks and palate. There is an increasing prevalence of oral cancer in the Australian population and the effects of this can be devastating. Naturally, early detection of oral cancer helps to improve the treatment outcome.
If you are concerned about something in your mouth or neck which doesn’t seem normal or you have a sore that isn’t healing, we recommend for you to make an appointment with us so it can be checked. In some cases, it’s best to monitor these areas and sometimes a pathology sample needs to be tested, or seen by an oral surgeon.

Fissure sealants
Cost-effective prevention for tooth decay in grooves and fissures
A plastic material that fills and seals deep grooves, preventing plaque buildup and decay
Painless and non-invasive procedure.
Most beneficial for newly erupted adult back teeth
?Suitable for adults with deep, difficult-to-clean grooves
Sports Mouthguards
Protect teeth during high-impact sports.
Recommended for sports like football, soccer, karate, combat sports, and basketball
Custom-made for a secure fit and maximum protection
Adjustable for children as they grow
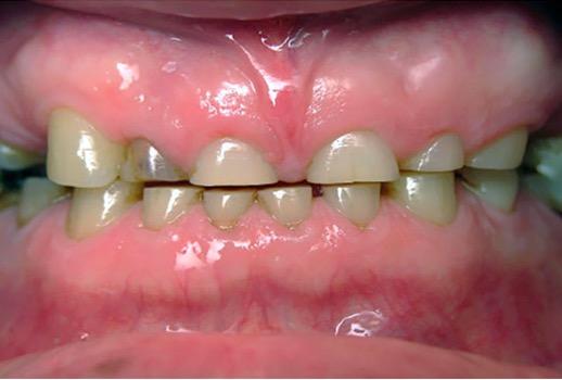
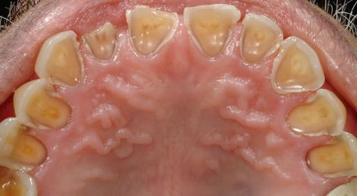
Tooth wear problems and how to prevent them
Dental Erosion
Dental erosion occurs due to sugars and acids in a person’s diet. When acidic foods and drinks are consumed, the acid causes the enamel of the teeth to become weaker and wear away. If the patient tends to grind their teeth, the wear is exacerbated and if it continues, the surfaces of the teeth become flat and sometimes even crater-like. If left untreated, the wear can cause so much damage that the tooth becomes sensitive and eventually the nerve of the tooth can become damaged.
The best way to avoid tooth erosion is to avoid food and drink which is particularly acidic such as soft drink, sports drinks, wine and citrus fruits. If you do have these types of food or drinks, rinse with water afterwards and avoid brushing your teeth for at least half an hour.
People with a dry mouth are more likely to suffer from erosion, so it’s very important to keep well hydrated with water. There are also other products to prevent erosion which we can be recommended, according to your needs.

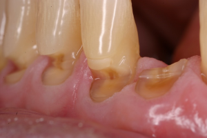
Toothbrush Abrasion
Toothbrush abrasion occurs when someone is heavy-handed with their toothbrush or is using a brush with hard bristles or is using an incorrect brushing technique. The toothbrush damage causes wear on the side of the teeth, often appearing as a sharp groove just above the gum line.
If left untreated, the wear can progress towards the nerve of the tooth and start to cause sensitivity, particularly to cold and touch.
Once the wear has become significant, it may be necessary for the wear to be covered and protected using a white filling material. This prevents further damage to the natural tooth and stops any sensitivity caused by the wear.
To avoid toothbrush abrasion, we recommend using a toothbrush with soft bristles or a powered brush and to brush in a gentle circular motion. Try to reduce the force you apply to your teeth when brushing by using your opposite hand or gripping your brush more lightly.
Attrition and Bruxism
Attrition is the abnormal wearing of the biting surfaces of the teeth due to an irregular bite or jaw habits. It may be caused by clenching and grinding teeth (bruxism) and is particularly noticeable if some teeth are crooked or crowded. Attrition often looks like the cusps and biting surfaces of the teeth have been worn down flat.
To avoid attrition, be aware of any clenching or grinding habits and try to stop doing it during the day. If you are grinding at night, you may require a nightguard to stop the damage to your teeth. Stress reduction is also an important factor for many people. Other effects of bruxism may include an earache, jaw aches, headaches and migraines and trouble opening and closing. Continued bruxism can lead to problems with the jaw joint known as the TMJ. Daytime awareness helps to reduce bruxism during the night. During the day, your teeth should not touch together apart from when you are eating.